Home > Services > Cosmetic Dentistry > Cosmetic Bonding
Cosmetic Bonding
Quick Fix for a Perfect Smile
Want to improve your smile fast? Cosmetic bonding uses tooth-colored material to repair chips, cracks, gaps, or discoloration. It’s quick, painless, and can dramatically enhance your teeth in just one visit
What This Service Is
Cosmetic bonding is a procedure where a dentist applies a durable, tooth-colored resin to your teeth. The material is shaped and polished to match your natural teeth. It can fix small chips, cracks, gaps, or stains, giving you a more even, attractive smile. Bonding is minimally invasive, preserves your natural tooth, and provides immediate results.
At Smile Avenue Dental Group, we provide cosmetic bonding care backed by over 20 years of clinical dental experience. Our team focuses on safety, comfort, and long-term results, using modern technology and personalized treatment planning to help patients restore their smiles with confidence.
Cosmetic Bonding
Standard Cosmetic Bonding
A quick, minimally invasive solution to repair small chips, cracks, or minor gaps. The tooth-colored resin is artfully shaped and polished to blend seamlessly with your natural teeth.
Composite Resin Bonding
A versatile option that enhances both the appearance and subtle function of your teeth. High-quality composite material matches your natural shade for a flawless, natural look.
Gap Closure & Edge Refinement
Bonding can elegantly close small spaces between teeth or reshape uneven edges, creating a balanced and harmonious smile.
Combination Cosmetic Treatments
For a truly radiant smile, bonding can be paired with professional whitening, veneers, or crowns, offering a complete and personalized smile makeover.
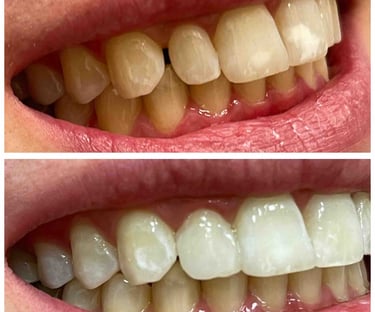
Treatment Results


Cosmetic Bonding
Implant-Supported Bridge
Supported Bridge: Replaces several teeth using fewer implants for support.
Description:


Full Arch/All-on-4 Implants
Replaces all teeth in a jaw with a fixed set supported by 4 or more implants.
Description:


Implant-Supported Bridge
Implant-Supported Bridge: Connected to dental implants – strong and long-lasting.
Description:


Cosmetic Bonding Options Comparison
How Many Visits Do You Need
Usually 1visit: consultation, preparation, and final placement
Visit Duration
Each visit typically lasts 30–60 minutes per tooth
How to Prepare
.
Brush and floss thoroughly before your appointment.
Let your dentist know if you have any sensitivity or dental concerns
Plan your visit if multiple teeth will be treated.
Treatment Timeline & Care
Aftercare
Avoid chewing hard foods immediately after bonding
Maintain good oral hygiene by brushing and flossing daily
Avoid staining foods and drinks (coffee, tea, tobacco) if possible
Schedule regular dental check-ups
Possible Side Effects
Arrival & Check-In – review your dental history and smile goals
Examination – evaluate the tooth and surrounding area
Tooth Preparation – clean the tooth; usually minimal or no enamel removal
Application of Bonding Material – resin is applied and shaped for a natural look
Curing – a special light hardens the material
Polishing & Finishing – smooth and polish the bonded tooth for a seamless finish
Instructions – care tips for lasting results.
Step-by-Step: What Happens During Your Visits
FAQ — Cosmetic Bonding
20+ years of practice experience
Friendly bilingual team (English & Spanish)
Modern 3D scanning technology
Gentle, patient-first approach
We accept Medi-Cal & most PPO plans
CareCredit & Cherry Finance financing available
Natural results that match your smile
Why Choose Smile Avenue Dental Group
Insurance, Payments & Financing Options
Payment method:
We accept checks, cash or credit cards. We also offer a flexible payment plan. Please see our Financial Coordinator for details. We are happy to file insurance for your reimbursement as long as you are free to choose your own dentist
Financing:
We offer CareCredit and Cherry Financing
CareCredit
CareCredit allows you to finance treatments and procedures that may not be fully covered by insurance. Our office offers both No-Interest and Low Monthly Payment plans, making it easier to receive the care you need without delay.
Cherry Financing
We also offer Cherry financing, allowing you to split your treatment costs into quick, simple monthly payments. The 60-second application includes a soft credit check and instant approval, making it easy to start your dental care right away—especially for larger or cosmetic treatments.