Home > Services > Cosmetic Dentistry > Cosmetic Crown Lengthening


Cosmetic Crown Lengthening
in Pico Rivera
Reveal a Balanced, Beautiful Smile
Do your teeth look too short or uneven? Cosmetic crown lengthening reshapes gum and bone tissue to expose more of your natural tooth. It creates a balanced, attractive smile while improving oral health
What is Cosmetic Crown Lengthening?
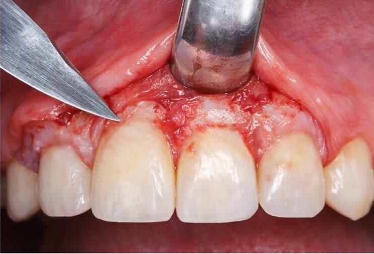
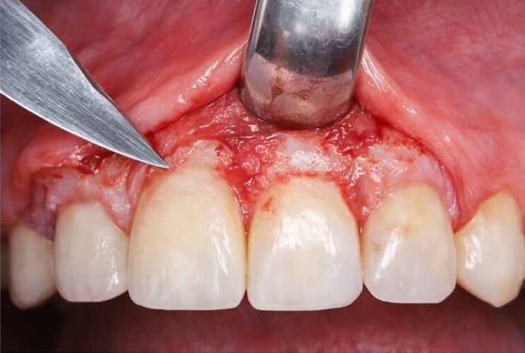
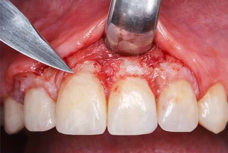
Cosmetic crown lengthening is a dental procedure that removes excess gum tissue (and sometimes a small amount of bone) to expose more of the tooth’s surface. It’s often used for aesthetic reasons, such as correcting a “gummy” smile or uneven teeth. The procedure can also prepare a tooth for restorations like crowns or veneers, ensuring a natural, proportional appearance while maintaining healthy gums.
At Smile Avenue Dental Group, we provide Cosmetic Crown Lengthening treatments backed by over 20 years of clinical dental experience. Our team focuses on safety, comfort, and long-term results, using modern technology and personalized treatment planning to help patients restore their smiles with confidence.
Cosmetic crown Lengthening
Cosmetic crown lengthening is a procedure that reshapes the gum tissue — and sometimes the underlying bone — to expose more of the natural tooth structure. This treatment helps create better tooth proportions, improve symmetry, and enhance the overall appearance of your smile. Crown lengthening is often used to make teeth look longer and more balanced, while maintaining healthy gum levels and supporting long-term oral health.


Crown Lengthening Treatment Options Comparison
How Many Visits Do You Need
Usually 1–2 visits depending on complexity.
Follow-up appointments are recommended to check healingand results.
Visit Duration
Typically 60–90 minutes per area treated.
Treatment Timeline & Care
Aftercare
Eat soft foods for several days
Avoid smoking or strenuous activity during healing
Take prescribed medications for pain or infection prevention
Maintain gentle oral hygiene around the treated area
Attend follow-up appointments for optimal results
Possible Side Effects
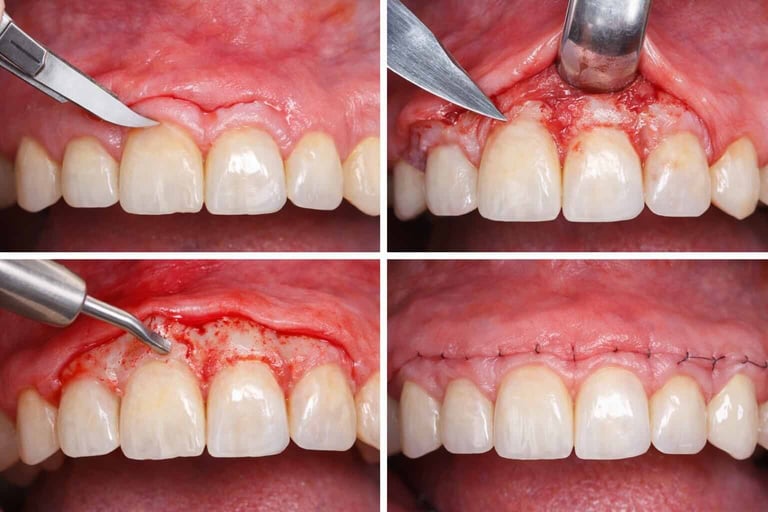
Consultation & Evaluation – examine your smile and teeth proportions
Treatment Planning – choose the best approach for aesthetics and oral health
Anesthesia – local anesthesia ensures comfort
Gum & Bone Adjustment – carefully reshape tissue to reveal more tooth
Suturing & Protection – gums are secured for proper healing
Post-Procedure Instructions – guidance for care and recovery
Follow-Up – monitor healing and ensure optimal results
What to Expect During Your Visit at Our Pico Rivera Office
Cosmetic Crown Lengthening in Pico Rivera
FAQ — Cosmetic Crown Lengthening
20+ years of practice experience
Friendly bilingual team (English & Spanish)
Modern 3D scanning technology
Gentle, patient-first approach
We accept Medi-Cal & most PPO plans
CareCredit & Cherry Finance financing available
Natural results that match your smile
Why Choose Smile Avenue Dental Group
Insurance, Payments & Financing Options
Payment method:
We accept checks, cash or credit cards. We also offer a flexible payment plan. Please see our Financial Coordinator for details. We are happy to file insurance for your reimbursement as long as you are free to choose your own dentist
Financing:
We offer CareCredit and Cherry Financing
CareCredit
CareCredit allows you to finance treatments and procedures that may not be fully covered by insurance. Our office offers both No-Interest and Low Monthly Payment plans, making it easier to receive the care you need without delay.
Cherry Financing
We also offer Cherry financing, allowing you to split your treatment costs into quick, simple monthly payments. The 60-second application includes a soft credit check and instant approval, making it easy to start your dental care right away—especially for larger or cosmetic treatments.