Home > Services > Cosmetic Dentistry> Veneers


Porcelain Veneers
Transform Your Smile
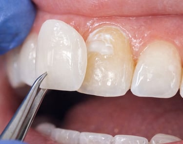
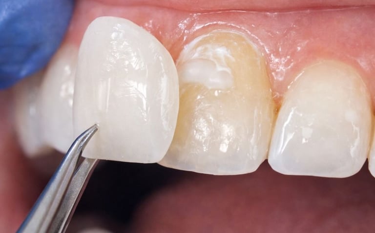
Want a flawless smile? Porcelain veneers are thin, custom-made shells that cover the front of your teeth. They hide stains, chips, gaps, and uneven teeth, giving you a natural, beautiful smile.
What This Service Is
Porcelain veneers are a cosmetic dental treatment that enhances the appearance of your teeth. Each veneer is crafted from high-quality porcelain and bonded to the front of your tooth. They can correct discoloration, small chips, gaps, or slightly misaligned teeth. Veneers are strong, durable, and designed to look natural, helping you smile confidently while maintaining good oral health.
At Smile Avenue Dental Group, we provide dental veneer care backed by over 20 years of clinical dental experience.Our team focuses on safety, comfort, and long-term results, using modern technology and personalized treatment planning to help patients restore their smiles with confidence.
Dental Veneers
Veneers can be customized in different ways depending on your smile goals. Options range from traditional porcelain veneers designed for long-lasting cosmetic improvement, to more conservative veneer treatments that preserve more natural tooth structure. Veneers may also be combined with other cosmetic procedures, such as teeth whitening or crowns, to achieve a balanced and complete smile makeover.


Implant-Supported Bridge
Supported Bridge: Replaces several teeth using fewer implants for support.
Description:


Full Arch/All-on-4 Implants
Replaces all teeth in a jaw with a fixed set supported by 4 or more implants.
Description:


Implant-Supported Bridge
Implant-Supported Bridge: Connected to dental implants – strong and long-lasting.
Description:


Types of Veneers at a Glance
How Many Visits Do You Need
Usually 2–3 visits: consultation, preparation, and final placement
Visit Duration
Each visit typically lasts 60–90 minutes
How to Prepare
.
Brush and floss thoroughly before appointments.
Discuss any dental concerns or sensitivity with your dentist.
Plan your schedule to accommodate multiple visits if needed
Treatment Timeline & Care
Aftercare
Brush and floss daily to keep veneers and natural teeth healthy
Avoid biting hard foods or using teeth as tools
Schedule regular dental check-ups and cleanings
Avoid staining habits (coffee, tea, tobacco) to maintain color.
Possible Side Effects
Veneers are durable but can chip or crack if subjected to excessive force
Contact your dentist if a veneer becomes loose, chipped, or causes discomfort.
Arrival & check-in – review your goals and dental history
Examination & X-rays – ensure teeth and gums are healthy
Tooth preparation – remove a thin layer of enamel if needed
Impressions – create molds for custom veneers
Temporary veneers – optional, worn while permanent veneers are made
Veneer placement – bond the porcelain shells and make adjustments for fit and color
Final polish & instructions – care tips for lasting results.
Step-by-Step: What Happens During Your Visits
FAQ — Veneers
20+ years of practice experience
Friendly bilingual team (English & Spanish)
Modern 3D scanning technology
Gentle, patient-first approach
We accept Medi-Cal & most PPO plans
CareCredit & Cherry Finance financing available
Natural results that match your smile
Why Choose Smile Avenue Dental Group
Insurance, Payments & Financing Options
Payment method:
We accept checks, cash or credit cards. We also offer a flexible payment plan. Please see our Financial Coordinator for details. We are happy to file insurance for your reimbursement as long as you are free to choose your own dentist
Financing:
We offer CareCredit and Cherry Financing
CareCredit
CareCredit allows you to finance treatments and procedures that may not be fully covered by insurance. Our office offers both No-Interest and Low Monthly Payment plans, making it easier to receive the care you need without delay.
Cherry Financing
We also offer Cherry financing, allowing you to split your treatment costs into quick, simple monthly payments. The 60-second application includes a soft credit check and instant approval, making it easy to start your dental care right away—especially for larger or cosmetic treatments.