Home > Services > Restorative Dentistry > Tooth Colored Fillings


Tooth-Colored Fillings
Restore Your Smile
Tooth-colored fillings repair small cavities and cracks using a natural-looking material that blends perfectly with your teeth. They restore strength and protect your tooth from further damage.
What This Treatment Is
Tooth-colored fillings (composite fillings) are used to fix decay, chips, or worn areas
They are bonded directly to the tooth and match your natural shade, so the restoration is invisible
This treatment helps:
Stop cavity progression
Restore tooth shape and strength
Improve appearance
Prevent future problems
At Smile Avenue Dental Group, we provide Tooth colored filling backed by over 20 years of clinical dental experience.
Our team focuses on safety, comfort, and long-term results, using modern technology and personalized treatment planning to help patients restore their smiles with confidence.
Tooth Fillings Types
Composite (Tooth-Colored) Fillings
These fillings are designed to match your natural tooth color and are customized based on the size and location of the cavity. They provide strong, long-lasting support while maintaining a natural appearance.
Description:




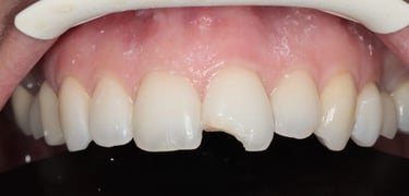
Medium composite filling
Medium composite filling — for moderate decay
Description:


Large composite filling
Large composite filling — when more structure needs rebuilding
Description:


Cosmetic bonding
Ideal for improving the appearance of chipped, uneven, or worn teeth while also providing added protection.
Description:


Filling Types & Options
How Many Visits Do You Need
Usually 1 visit, Multiple fillings can be done in the same appointment
Visit Duration
Visit 1: 20–45 minutes
Small filling: 20–30 minutesMedium/large filling: 30–45 minutes
How to Prepare
Brush normally before your appointment
Eat beforehand
Tell the dentist if you have sensitivity or dental anxiety
Treatment Timeline & Care
Aftercare
You can eat once numbness wears off
Avoid extremely hard foods for 24 hours
Continue brushing and flossing normally
If bite feels uneven, come in for a quick adjustment
Possible Side Effects
Temporary tightness in bite
Bite may feel slightly different at first.
Visit 1:
Arrival & check-in
Exam + X-ray to confirm the size of the cavity
Local anesthesia (if needed)
Gentle removal of decay
Cleaning and shaping the tooth
Layer-by-layer composite placement
Shaping and polishing for a smooth, natural finish
Step-by-Step: What Happens During Your Visit
Tooth Fillings in Pico Rivera
FAQ — Tooth Fillings
20+ years dental experience
Friendly bilingual team (English & Spanish)
Modern 3D scanning technology
Gentle, patient-first approach
We accept Medi-Cal & most PPO plans
CareCredit & Cherry Finance financing available
Natural results that match your smile
Why Choose Smile Avenue Dental Group
Insurance, Payments & Financing Options
Payment method:
We accept checks, cash or credit cards. We also offer a flexible payment plan. Please see our Financial Coordinator for details. We are happy to file insurance for your reimbursement as long as you are free to choose your own dentist
Financing:
We offer CareCredit and Cherry Financing
CareCredit
CareCredit allows you to finance treatments and procedures that may not be fully covered by insurance. Our office offers both No-Interest and Low Monthly Payment plans, making it easier to receive the care you need without delay.
Cherry Financing
We also offer Cherry financing, allowing you to split your treatment costs into quick, simple monthly payments. The 60-second application includes a soft credit check and instant approval, making it easy to start your dental care right away—especially for larger or cosmetic treatments.