Home > Services > General & Preventive Dentistry > Deep Cleaning


Deep Cleaning (SRP)
A deep cleaning removes bacteria from below the gumline. It helps treat gum disease and keeps your gums healthy and strong
What This Service Is
Deep Cleaning, also called Scaling and Root Planing (SRP), is a non-surgical treatment for gum disease. During this procedure, the hygienist cleans deep under the gums and smooths the roots of your teeth. This reduces inflammation, stops infection from getting worse, and helps gums heal and reattach to the teeth.
At Smile Avenue Dental Group, we provide Deep Teeth Cleaning (SRP) backed by over 20 years of clinical dental experience. Our team focuses on safety, comfort, and long-term results, using modern technology and personalized treatment planning to help patients restore their smiles with confidence.
Deep Teeth Cleaning
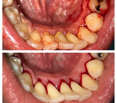
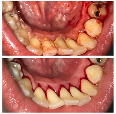
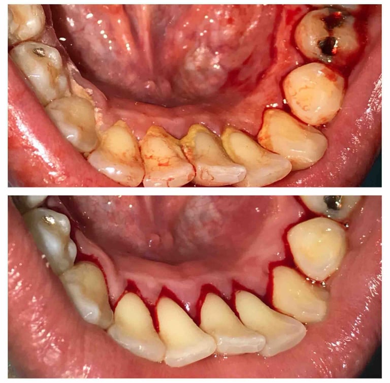
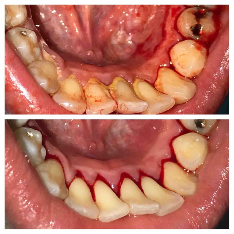
Deep cleaning, also known as scaling and root planing, is used to treat gum disease by removing plaque and bacteria from below the gum line and smoothing the tooth roots to help gums heal properly. Depending on the severity of the condition, the treatment may be completed in sections (such as half-mouth or quadrant visits) to ensure comfort and thorough care. After deep cleaning, ongoing periodontal maintenance visits every 3–4 months are essential to keep gum disease under control, as regular cleanings are not sufficient once periodontal issues are present.


Treatment Results


Deep Cleaning
In-Office Whitening
Fast, professional whitening done in a single appointment
Description:
Take-Home Whitening Kits
Take-Home Whitening Kits: Custom trays and professional-grade gel to whiten teeth at your own pace.
Description:


Combination Treatment
Combination Treatment: In-office session followed by take-home kits for longer-lasting results.
Description:


Implant-Supported Bridge
Implant-Supported Bridge: Connected to dental implants – strong and long-lasting.
Description:


Dental Exam Types & Visit Overview
How Many Visits Do You Need
Usually 1–2 visits depending on complexity.
Follow-up appointments are recommended to check healingand results.
Visit Duration
Typically 60–90 minutes per area treated.
Treatment Timeline & Care
Aftercare
Eat soft foods for several days
Avoid smoking or strenuous activity during healing
Take prescribed medications for pain or infection prevention
Maintain gentle oral hygiene around the treated area
Attend follow-up appointments for optimal results
Possible Side Effects
Check-In and gum evaluation
Local anesthesia to keep the area comfortable
Scaling — removing buildup from below the gumline
Root planing — smoothing the roots to help gums heal
Irrigation with antibacterial solution (if needed)
Post-treatment instructions and scheduling the next visit
What to Expect During Your Visit
How Many Visits You Need:
Usually 2 visits, sometimes 4 visits (one for each quadrant)
A follow-up Periodontal Maintenance cleaning is needed every 3–4 months.
Visit Duration - 60-90 minutes
FAQ — Deep Teeth Cleaning
20+ years of practice experience
Friendly bilingual team (English & Spanish)
Modern 3D scanning technology
Gentle, patient-first approach
We accept Medi-Cal & most PPO plans
CareCredit & Cherry Finance financing available
Natural results that match your smile
Why Choose Smile Avenue Dental Group
Insurance, Payments & Financing Options
Payment methods:
We accept checks, cash or credit cards. We also offer a flexible payment plan. Please see our Financial Coordinator for details. We are happy to file insurance for your reimbursement as long as you are free to choose your own dentist
Financing:
We offer CareCredit and Cherry Financing
CareCredit
CareCredit allows you to finance treatments and procedures that may not be fully covered by insurance. Our office offers both No-Interest and Low Monthly Payment plans, making it easier to receive the care you need without delay.
Cherry Financing
We also offer Cherry financing, allowing you to split your treatment costs into quick, simple monthly payments. The 60-second application includes a soft credit check and instant approval, making it easy to start your dental care right away—especially for larger or cosmetic treatments.